Chalky Teeth in Kids: A Practical Guide for Parents

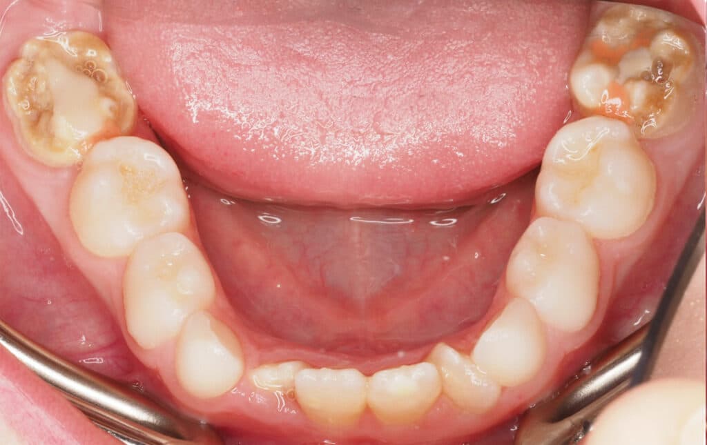
Does your child have “chalky teeth”? Perhaps one or more of your child’s adult teeth have come through with white, yellow or brown patches – or with a mottled appearance. The teeth may seem weaker than usual, with enamel that looks malformed, or fragile. If this sounds familiar, you’re not alone. In this blog, we’ll […]