Does your child have “chalky teeth”? Perhaps one or more of your child’s adult teeth have come through with white, yellow or brown patches – or with a mottled appearance. The teeth may seem weaker than usual, with enamel that looks malformed, or fragile. If this sounds familiar, you’re not alone. In this blog, we’ll explain what chalky teeth are, what causes them, and how they can affect both dental and orthodontic care—along with the strategies and treatments that can make a real difference to the strength and appearance of your child’s teeth.
We’ll also share two case studies showing how acting at the right time can make things much simpler, with a bit of planning helping to avoid dental trouble down the track.
What Causes Chalky Teeth?
Chalky teeth are commonly caused by a condition known as ‘hypomineralisation’. In Australia, about 1 in 6 children (approximately 16%) are affected by this condition, which most commonly impacts the first permanent molars (six-year old molars), although other teeth may also be affected in some cases.
The term “chalky” refers to enamel that hasn’t mineralised properly during development. As a result, the enamel is weaker, making it more susceptible to wear, sensitivity, and decay. It’s important to note that this isn’t due to poor oral hygiene or diet. Chalky teeth are usually caused by a developmental issue that occurs while the teeth are forming.
While the exact cause of chalky teeth (or hypomineralisation) isn’t yet known, we do know that the issue occurs during enamel development—usually between late pregnancy and the first few years of life—when the tooth enamel doesn’t mature properly. Researchers have found links between early childhood illness and the condition, but it’s likely that a combination of factors, including genetics and environmental influences may contribute.
It is important for parents to understand that hypomineralisation is likely not caused by anything they did or didn’t do. At this stage, hypomineralisation is not thought to be preventable. The good news is that with proper dental care and early intervention, children with chalky teeth can maintain healthy beautiful smiles.
Signs of Chalky Teeth
Chalky teeth often have a noticeably different appearance, with enamel that may look much whiter than normal or include cream, yellow, or brown tones. These changes in colour are typically seen as small spots or larger patches, though in more severe cases, the entire tooth surface can be involved. Unlike healthy enamel, which is shiny, hard and slightly translucent, affected areas often appear dull, opaque, and may break down easily—giving them a soft, “chalk-like” texture.
Children with chalky teeth often experience sensitivity (e.g. to hot, cold and sweet foods, and even toothbrushing), and may feel rough or porous compared to the surrounding enamel. Due to the weakened enamel, these teeth are more prone to decay and cavities. They can also be tricky to restore, as they may not provide enough strong, healthy enamel for fillings or sealants to bond to securely.
It’s worth noting that not all changes in tooth colour are caused by enamel hypomineralisation. Similar signs can appear with conditions like dental fluorosis, the early stages of tooth decay, or trauma to the tooth (such as a bump that affects the nerve). We advise discussing any symptoms or changes with a dentist as soon as possible—so you know exactly what’s going on and what the next steps should be.
Chalky Teeth Treatment Options
Not all chalky teeth need immediate treatment. If the enamel changes are minor and not causing discomfort or problems with eating, brushing, or appearance, your family or paediatric dentist may simply recommend monitoring them over time.
However, in some many cases, early intervention can lead to a better long-term outcome. Acting early can sometimes make future treatment simpler, and may help prevent discomfort, tooth breakdown, or the need for more complex dental work later on.
Treatment options may include:
- Extra fluoride and protective sealants to strengthen the enamel and help prevent decay
- Tooth-coloured fillings, where possible, to repair smaller areas
- Stainless steel crowns to protect teeth that aren’t strong enough to support fillings
- In some cases, extraction may be considered if the tooth has a poor long-term prognosis.
The right option depends on your child’s symptoms and overall development. Often, there is great benefit in forming an overall plan in collaboration with an orthodontist.
Chalky Teeth Teamwork Matters: Communication Between Dental Professionals
Orthodontists are trained to look at the big picture—including how each tooth fits into the overall bite, smile, and long-term function. Orthodontists also receive lots of extra training about child growth and dental development. For kids with chalky teeth, early communication between your general or paediatric dentist and the orthodontist can make a real difference. We really appreciate early referrals and first visits, even if it’s just for an initial assessment. Sometimes, we need to rely on a specific tooth for something called anchorage (where we use one tooth to help move others), and decisions like when to restore or remove a chalky tooth can impact what’s possible down the track.
By working together early on, we can make more informed decisions about the timing and type of restorations—helping to protect your child’s smile and set them up for the best possible outcome long-term.
Caring for Chalky Teeth: A Parent’s Role
As chalky teeth can be especially susceptible to fast breakdown and decay, early diagnosis can be crucial to long-term outcomes.
Some helpful things you can do:
- Book regular dental check-ups and follow the dentist or paediatric dentist’s advice.
- Maintain a healthy diet and a consistent brushing routine at home.
- Consider an early orthodontic visit to take advantage of early intervention opportunities and inform long-term planning.
Chalky Teeth Case Study
This patient had a chalky 6-year-old molar that was likely to cause ongoing issues—multiple treatments, repeated problems, and a high chance of eventually being lost anyway.
After spotting a developing wisdom tooth on that side, we discussed options with her parents, and chose a proactive approach: remove the chalky molar early. At this stage of development, the 12-year-old molar hasn’t yet fully come in, so it can naturally drift forward under the gums to take the place of the missing tooth—often with excellent results.
The extracted chalky molar (see above, marked in yellow) has been replaced by a healthy, strong 12 year old molar, below bottom right of the photo.
In time (later adolescence or beyond), we expect the wisdom tooth to drift forward too and erupt, giving her a healthy set of molars. Since wisdom teeth are often removed anyway, this plan may not mean more extractions—just smarter ones.

Notes: Crowding and bite irregularities. FineLine upper arch 3 months, Spark upper and lower 17 months. Results will vary depending on patients’ individual circumstances. Outcomes shown are only relevant for this patient and do not necessarily reflect the results other patients may experience.
Acting early was helpful in this case for smooth, easy treatment. If we had waited until the 12-year-old molar had already come in, the space would have been harder to manage, likely requiring more complex treatment to correct tipping or alignment issues.
We also used a short-course of early treatment FineLine® (3 months) and then comprehensive Spark clear aligners (17 months) to address crowding and bite irregularities. (Invisalign, braces or other aligner brands could also have been used – we offer a wide range).
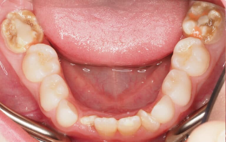
Chalky Teeth Management – Before and After
Here’s another example of well-timed treatment to address chalky teeth. In this case, both of the lower 6 year old molars were chalky teeth.
With careful planning, those teeth were removed at the right time, allowing the 12-year-old molars to move into place. And with wisdom teeth still to come, this patient now has a strong, healthy set of molars in the right positions, without any lingering issues from chalky teeth.
Notes: In addition to extraction the the lower first molars (and awaiting eruption of lower second molars), patient’s crowding was treated with upper and lower braces for 20 months. Results will vary depending on patients’ individual circumstances. Outcomes shown are only relevant for this patient and do not necessarily reflect the results other patients may experience.
Summary
While not all cases need immediate treatment, early checks and good home care can make a big difference in preventing future problems. With the right advice and support, children with chalky teeth can enjoy strong, healthy smiles as they grow.
Fine Orthodontist Sydney Can Help
If you’d like help managing your child’s chalky teeth, we’re here to support you. Our team can assess your child’s needs, help plan the bigger picture, and work closely with your dentist or paediatric dentist where needed.
Contact us today to book a free* orthodontic assessment.




